팝업레이어 알림

팝업레이어 알림이 없습니다.
네이버예약 카카오톡상담 전화 네이버예약 카카오톡상담 전화 네이버예약 카카오톡상담 전화
디지털 풀아치 시술 가능 병원디지털 임플란트 디오나비 우수 시술치과

서울연합치과

화/금 야간진료052.272.2888
main_banner_bg
메인배너
디지털 임플란트 시스템 디지털 임플란트 시스템
디지털 임플란트는 안전함이다. 디지털 임플란트는 안전함이다.
네비게이션 임플란트3 네비게이션 임플란트3 맞춤 임플란트 맞춤 임플란트
틀니 배너 틀니 배너
디지털 풀아치 임플란트1 디지털 풀아치 임플란트1
디지털 풀아치 임플란트2 디지털 풀아치 임플란트2
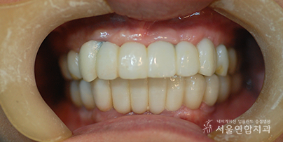
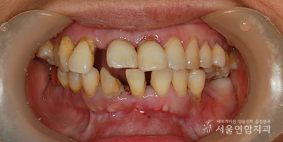
당일 발치 및 네비게이션 임플란트 수술 후 당일 보철까지 장착하여 식사가 가능한 디지털 풀아치 임플란트 치료과정을 만나보세요! 당일 보철까지 장착하여 식사가 가능한 디지털 풀아치 임플란트 치료과정을 만나보세요!
치료 전
치료전1
치료전2
치료전3
전후사진
치료 후
치료후1
치료후2
치료후3
치료 전
치료전1
치료전2
치료전3
전후사진
치료 후
치료후1
치료후2
치료후3
영상으로보는 디지털 풀아치 임플란트 치료 과정 영상으로보는 디지털 풀아치 임플란트 치료 과정

디지털 풀아치 임플란트 소개1

디지털 풀아치 임플란트 소개2

디지털 풀아치 임플란트 치료 방법

디지털 풀아치 임플란트 치료 후기1

디지털 풀아치 임플란트 치료 후기2

디지털 풀아치 임플란트 치료 후기3

디지털 수면 임플란트 디지털 수면 임플란트
모든 임플란트는 정품만 사용합니다. 모든 임플란트는 정품만 사용합니다.
오시는길 & 진료시간 안내
네이버예약 카카오톡상담 네이버톡톡 전화상담
오시는길 안내 오시는길 안내
진료시간 안내 진료시간 안내
전화상담 바로가기전화상담 바로가기 네이버예약 바로가기네이버예약 바로가기